Caso clinico 9

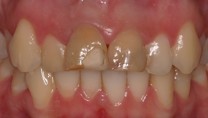
       CORONE IN ZIRCONIA CERAMICA 

   .......

Caso 9

 

Caso 9Caso 9

 

 

Caso 9

 

 

 

partnership: Dott. S. Scolavino (2015)

 

 

Letto 1091 volte
Altro in questa categoria: « Caso clinico 8 Caso clinico 10 »

Questo sito web utilizza i cookie per migliorare la navigazione. Utilizzando il sito si intende accettata la Cookie Policy. Per conoscere i cookie che utilizziamo e come eliminarli, vedere la nostra privacy policy.

Accetto i cookies da questo sito.