Caso clinico 10

     

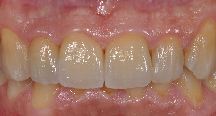
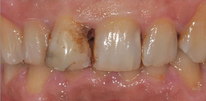
CORONE IN ZIRCONIA CERAMICA

    .......

caso10-1

 

caso10-2caso10-3

 

 

caso10-4

 

 

 

partnership: Dott. S. Scolavino (2015)

 

 

Letto 798 volte
Altro in questa categoria: « Caso clinico 9

Questo sito web utilizza i cookie per migliorare la navigazione. Utilizzando il sito si intende accettata la Cookie Policy. Per conoscere i cookie che utilizziamo e come eliminarli, vedere la nostra privacy policy.

Accetto i cookies da questo sito.