Caso clinico 8

       CORONE IN ZIRCONIA CERAMICA

   su impianto e moncone naturale

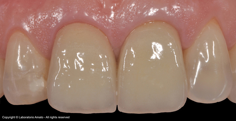
Caso 8

 

Caso 8

 

 

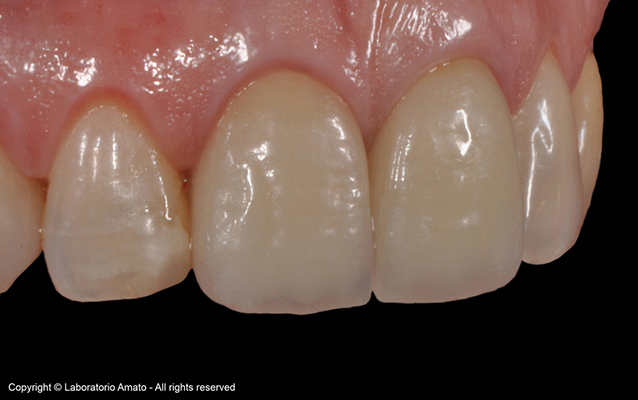
Caso 8

 

 

 

Caso 8

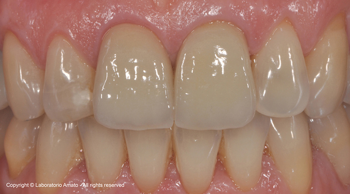
Caso 8

 

 

 

 

 

 

  

Caso 8

 

 

 

 

 

 

 

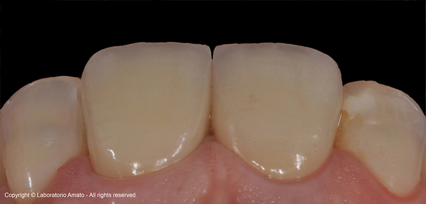
Caso 8

    

 

 

 

Caso 8

partnership: Dott. S. Scolavino   (2011)

 

Letto 1783 volte
Altro in questa categoria: « Casi clinici 7 Caso clinico 9 »

Questo sito web utilizza i cookie per migliorare la navigazione. Utilizzando il sito si intende accettata la Cookie Policy. Per conoscere i cookie che utilizziamo e come eliminarli, vedere la nostra privacy policy.

Accetto i cookies da questo sito.