Casi clinici 7

       RESTAURI INDIRETTI IN COMPOSITO

...una soluzione in numerosi casi :

  • Valida
  •      Alternativa
  •            Estetica
  •                   Funzionale

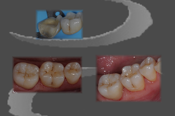
Caso 7

 

Caso 7

 

 

Caso 7

 

 

 

Caso 7

Caso 7

 

 

 

 

 

 

Caso 7

 

 

 

 

 

 

 

 

 

Caso 7

 

 

 

 

 

Caso 7

partnership: Dott. S. Scolavino 

Letto 1604 volte
Altro in questa categoria: « Caso clinico 6 Caso clinico 8 »

Questo sito web utilizza i cookie per migliorare la navigazione. Utilizzando il sito si intende accettata la Cookie Policy. Per conoscere i cookie che utilizziamo e come eliminarli, vedere la nostra privacy policy.

Accetto i cookies da questo sito.