FACCETTA IN CERAMICA INTEGRALE
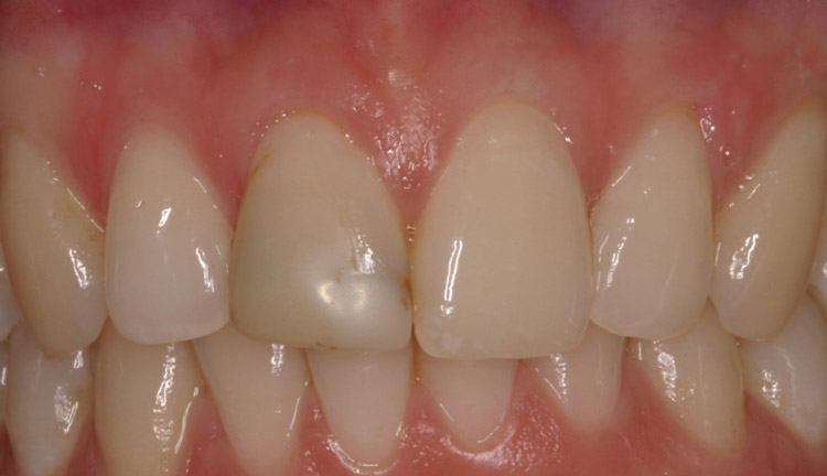
1. Incongruenza del restauro estetico sull' incisivo
centrale superiore di destra. Si propone un restauro
estetico del tipo faccette in ceramica integrale.
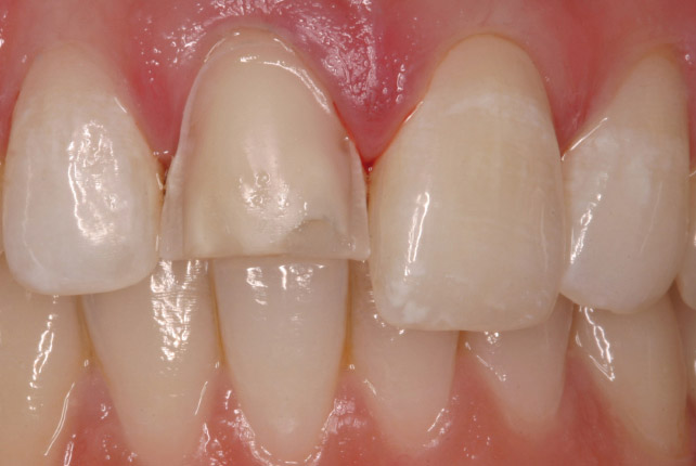
2. Particolare della preparazione.
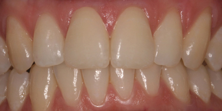
3.Controllo del caso ultimato
a 15 giorni dalla cementazione
del manufatto.




