Caso clinico 5

CORONE IN CERAMICA INTEGRALE 

 

 

 

Caso-5Caso-5-2

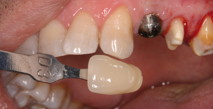
1. Corone su denti devitali di 2.5 e 2.6 e corona su impianto in posizione 2.4.
Particolari delle praparazioni e del rilievo del colore.

 Caso-5-3

 

 

  

  

 

 

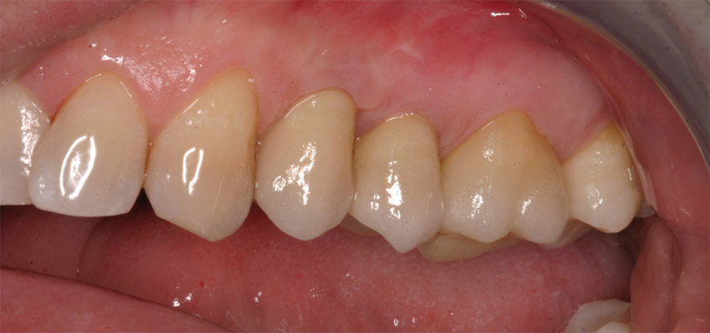
2. Cementazione dei manufatti

 partnership: Dott. S. Scolavino  (2009)

Letto 1623 volte
Altro in questa categoria: « Caso clinico 4 Caso clinico 6 »

Questo sito web utilizza i cookie per migliorare la navigazione. Utilizzando il sito si intende accettata la Cookie Policy. Per conoscere i cookie che utilizziamo e come eliminarli, vedere la nostra privacy policy.

Accetto i cookies da questo sito.