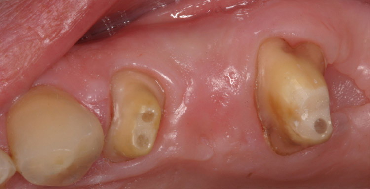
PONTE IN CERAMICA INTEGRALE
Ponte in ceramica integrale su
monconi devitalizzati di 2.4 e 2.6 con
edentulia del 2.5. Distalmente al 2.6 si
rinviene un sito post-estrattivo in fase di
guarigione.
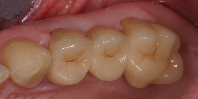
Particolare occlusale
del restauro.
partnership: Dott. S. Scolavino (2009)

