CORONE IN CERAMICA INTEGRALE
1. Amelogenesi imperfetta del sestante
superiore ed inferiore con restauri diretti incongrui.
La disarmonia delle parabole gengivali superiori ed
inferiori incide sull'inestetismo del sorriso
Il paziente richiede un trattamento
estetico al quale rispondiamo con una fase
chirurgica di correzione delle parabole gengivali
e successiva realizzazione di 12 corone metal
free in ceramica integrale.
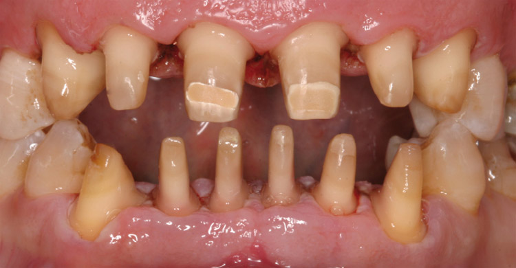
2. Dopo la fase chirurgica, si effettuano
le preparazioni dei monconi. 
3. La cementazione delle corone
soddisfa la paziente 
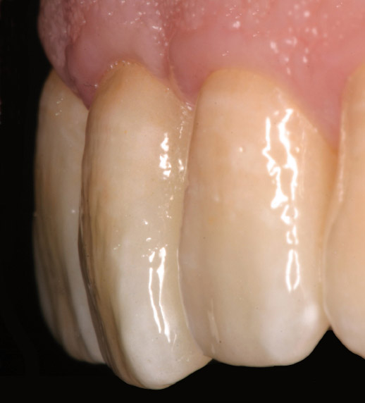
4. Profilo dei restauri:
si noti la cura dei particolari
anatomici di superficie.
partnership: Dott. S. Scolavino (2008)



