FACCETTA IN CERAMICA INTEGRALE
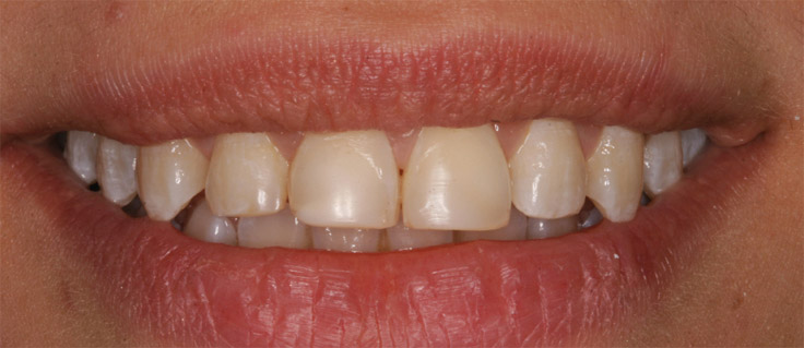
1. Incongruenza di restauri estetici sugli incisivi
centrali superiori e conformazione anatomica degli
incisivi laterali superiori non gradita alla giovane paziente.
si propone un restauro estetico del tipo faccette in ceramica integrale.
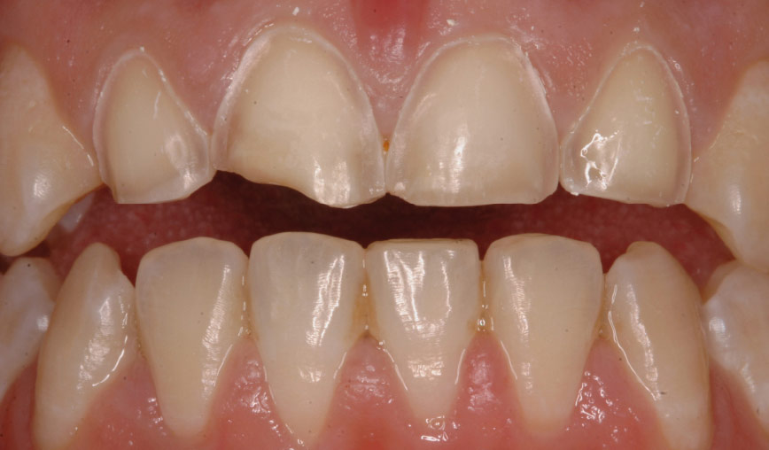
2. Si procede alla rimozione del composito dagli incisivi centrali
e quindi si effettua la preparazione delle faccette vestibolari dei 4
incisivi con impronta di precisione
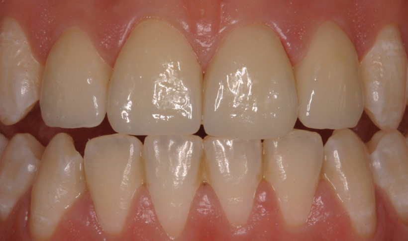
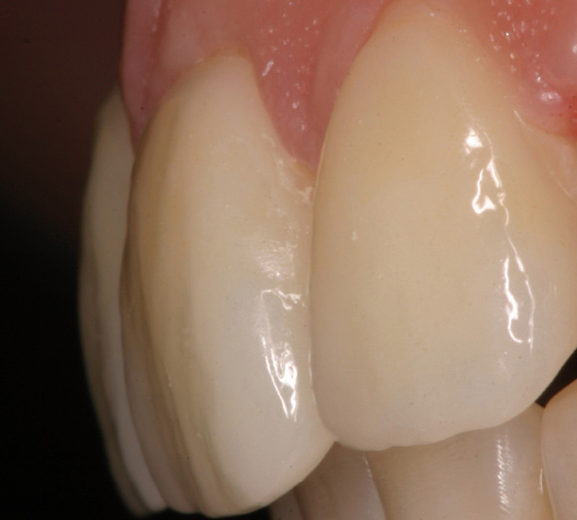
3. Controllo del caso ultimato a 15 giorni dalla cementazione del manufatto.
partnership: Dott. S. Scolavino (2008)




