CORONE IN CERAMICA INTEGRALE
1. Corone in ceramica integrale
su elementi dentali devitalizzati.
Particolari delle preparazioni.
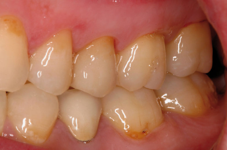
2. Cementazione con immagine
occlusale dei restauri.
3. Immagine vestibolare delle corone
protesiche.
partnership: Dott. S. Scolavino (2009)

